متاح
نحن نهتم بك
97377361111
97377381111
97334349282
English
الصفحة الرئيسية
من نحن
الأقسام
التغذية الوريدية
قسم الطب العام
عيادة الجلد والتجميل والعناية بالبشرة
إزالة الشعر بالليزر
قسم طب وتقويم الأسنان
قسم المختبر
العروض
جميع العروض
الشروط والاحكام
الأطباء
المقالات
جميع المقالات
التغذية الوريدية
قسم الطب العام
عيادة الجلد والتجميل والعناية بالبشرة
إزالة الشعر بالليزر
قسم طب وتقويم الأسنان
قسم المختبر
إتصل بنا
شركات التأمين
الموقع
احجز الآن
دكتوره شيماء السعيد احمد
عن الطبيب
الرحلة المهنية
الخدمات
دكتوره شيماء السعيد احمد
عيادة الجلد والتجميل والعناية بالبشرة
احجز الآن مع دكتوره شيماء السعيد احمد
عن الطبيب
دكتوره شيماء السعيد احمد
عيادة الجلد والتجميل والعناية بالبشرة
> أخصائية جلدية وتجميل > خبرة 8 سنوات > الخدمات : بوتوكس، فيلرز، نضارة، جلدية
سنوات الخبرة
8 +
سنوات
الرحلة المهنية
بوتوكس، فيلرز، نضارة، جلدية
الخدمات
حقن البوتكس
احجز الآن
علاج البلازما الغنية بالصفائح
احجز الآن
تقنية الليزر الجزئي CO2
احجز الآن
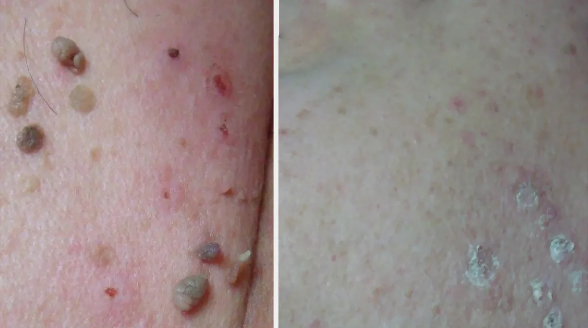
إزالة الزوائد الجلدية
احجز الآن
حقن الفيلر
احجز الآن
شد الوجه والرقبة
احجز الآن
هل ترغب في حجز موعدك الآن؟
احجز الآن
شركاء النجاح